放射線課

職場概要
多種多様な検査機器を用いた画像検査、そして放射線科専門医による画像診断を行っています。各診療科医師からの依頼を受けて、適切な撮影を行い、得られた画像に専門的な診断をつけ迅速に結果を返せるようにしています。スタッフは、放射線科医師3名、診療放射線技師19名(男性12名、女性7名)、事務員4名で構成されています。

診療放射線技師とは
病院などで放射線を用いた検査、治療や放射線を発生する機器、被ばくの管理を行う医療職を言います。

職場理念
聖隷放射線部門 診療放射線技師 理念
私たちは、医療人・科学者として資質(知識、技術、態度)向上に努め、
利用者に最大限のサービスを提供します。
放射線課 ビジョン
確かな安全性と専門性で地域に『価値ある医療サービス』を届けるとともに、チームの結束力で職員も組織も成長し続ける未来を拓く。
業務紹介
一般撮影
一般撮影とは、一般的に広く知られているX線(レントゲン)撮影のことです。身体にX線を照射し、通過したX線量の差を白黒の画像として得ることができます。
一般撮影では胸部撮影、腹部撮影、骨撮影、耳鼻咽頭撮影などを行います。
当院では、FPD(Flat Panel Detector)と呼ばれる最新の撮影装置を使用しています。従来の撮影装置と比べて、被曝線量が少ないことや、より診断に適した画像が提供できることが大きな特徴です。また、画像処理作業が省かれ、検査時間が短縮されました。
一般撮影では胸部撮影、腹部撮影、骨撮影、耳鼻咽頭撮影などを行います。
当院では、FPD(Flat Panel Detector)と呼ばれる最新の撮影装置を使用しています。従来の撮影装置と比べて、被曝線量が少ないことや、より診断に適した画像が提供できることが大きな特徴です。また、画像処理作業が省かれ、検査時間が短縮されました。

一般撮影室の外観(立位撮影台)

一般撮影室の外観(臥位撮影台)

一般撮影装置操作パネル

画像処理システム
マンモグラフィ(乳房撮影)
マンモグラフィは、乳腺組織を見やすくするために乳房を薄く広げながら圧迫して撮影します。しこりとして触れないごく早期の乳がんなど、乳房に出来る病気を見つけることが出来ます。当院では2016年3月より、「トモシンセシス」という断層撮影のできる新装置を導入いたしました。この撮影では、角度を変えて複数の方向から乳房を撮影し、乳房を1mmごと輪切りにスライスして写すことが出来ます。若年の方など乳腺の多い方は、通常のマンモグラフィを撮影しても乳腺が真っ白に写り、病気が見つけづらいことや、乳腺の重なりが病気に見えてしまうこともありました。しかし、トモシンセシス撮影で乳房を薄くスライスすることにより、病気と乳腺の重なりを分離し、より正確な診断が期待できます。さらに最新の技術により、従来の装置よりも被ばく線量が30%低減されました。出来るだけリラックスして検査を受けて頂けますよう、新装置には優しく光るイルミネーション機能を搭載し、検査室にはオルゴールの音楽を流して少しでも安らげる環境を心がけております。

マンモグラフィ装置(トモシンセシスの様子)

X線透視検査
X線の透視を用いてモニターで観察しながら検査や治療を行います。当院は、FPD(Flat Panel Detector)を搭載したデジタルX線TV装置を2台備えています。それにより被曝線量を低減化、多様な画像処理、リアルタイムでの画像表示、連続撮影が可能になり、より質の高い画像情報を提供しております。
X線TV検査(デジタルX線TV装置)

装置の外観

操作室
消化管(食道・胃・十二指腸・大腸)、泌尿器(腎臓・尿管・膀胱・尿道)、整形(脊髄腔・神経根ブロック・整復)、産婦人科(子宮・卵管)など各診療科のさまざまな検査や治療が行われます。
X線TV検査画像


血管撮影検査(多目的デジタルX線TV装置)

装置の外観

操作室
装置の構造が広い可動領域を持つCアーム型となっており、さまざまな角度から透視・撮影を行うことが可能です。当院では主に血管撮影として使用していますが、X線TV検査としても利用できます。
血管撮影検査・治療画像

頭部血管造影(右内頚動脈)

頚動脈ステント留置術

透析シャントPTA

下肢PTA
※PTA(Percutaneous Transluminal Angioplasty):経皮的血管形成術
骨密度検査/身体組成検査
当院では2016年4月より、骨密度検査を行う装置が変わり、今までと同じ骨密度検査と新しく身体組成検査ができるようになりました。

検査風景
骨密度検査
骨密度検査は骨密度(骨塩量)を測定する検査です。
検査することで、骨がもろくなり骨折しやすくなる「骨粗鬆症」を早期に発見することが出来ます。
当院ではDXA法(二重エネルギーX線吸収測定法)のX線骨密度測定装置を導入し、検査を行っています。
DXA法による検査は他の骨密度検査と比べて、精度の高い検査方法とされています。
測定部位には腰椎、大腿骨頸部、前腕部があります。特に骨折するリスクの高い腰椎や大腿骨頸部が基本的な測定部位となります。
検査することで、骨がもろくなり骨折しやすくなる「骨粗鬆症」を早期に発見することが出来ます。
当院ではDXA法(二重エネルギーX線吸収測定法)のX線骨密度測定装置を導入し、検査を行っています。
DXA法による検査は他の骨密度検査と比べて、精度の高い検査方法とされています。
測定部位には腰椎、大腿骨頸部、前腕部があります。特に骨折するリスクの高い腰椎や大腿骨頸部が基本的な測定部位となります。
検査は、検査台に5分ほど仰向けに寝ていただいた状態で行います。
最新技術によりX線による被ばくが胸部レントゲン撮影 (約0.2mGy)の1/10という安全性と安心を実現しています。
それぞれの値と比較して自分の骨密度が何%に当たるか表示されます。
若年成人平均値 (YAM: Young Adult Mean)との比較は骨粗鬆症の診断に用いられます。YAMと比較して80%以上で正常、70~80%では骨量減少、70%以下は骨粗鬆症と診断されます。骨粗鬆症初期にはほとんど自覚症状がありません。
そのため、定期的に骨密度検査を受けることで骨粗鬆症の早期発見につながります。また自分自身の骨の健康状態を知り、食事・運動など生活改善をすることで骨粗鬆症の予防にもなります。

測定結果レポート
(腰椎+右大腿骨頚部)
(腰椎+右大腿骨頚部)
※骨密度測定検査を希望される方は、各診療科の担当医師にご相談ください。
身体組成検査
身体組成検査は非脂肪質量(筋肉量)、脂肪組織量、脂肪率などをDXA法で行うことで高精度な測定を行う検査です。測定は全身で行い、計算値ではなく実際値を用いて解析することが出来ます。
検査は、検査台に6分ほど仰向けに寝ていただいた状態で行います。
X線による被ばくは胸部レントゲン撮影 (約0.2mGy)の約1/500と少なく、最新技術により安全性と高精度な検査を実現しています。
また測定の値から正確な体脂肪率や安静代謝率(RMR)、同年齢の体脂肪平均との比較が表示されます。
これらの結果(値)を自分自身が知ることで生活習慣病やメタボリックシンドローム、サルコペニアの予防、対策の為の食事・運動など生活改善をする助けになります。

測定結果レポート
※身体組成測定検査を希望される方は、各診療科の担当医師にご相談ください。
CT(Computed Tomography:コンピュータ断層撮影法)
CT検査は、身体にX線を照射して通過したX線の分布を、コンピュータで処理することにより輪切りの断面として画像化する検査です。身体のあらゆる部位において内部の構造を詳細に調べることができます。また、1mm以下の幅で輪切り画像を多数積み重ねることで、任意の角度の断面像(MPR)や、血管や骨などの3次元画像(3D)を得ることも可能です。
当院では、2020年5月に64列のマルチスライスCTを導入しました。従来の装置よりも早く、細かく、少ないX線量での撮影が可能となりました。さらに最新の画像処理技術も搭載しております。
この装置1台で予約検査、当日予約外検査及び緊急検査を行っています。


大腸CT検査について
CTで得られた画像をもとに、腸のポリープなどを見つけるための検査です。撮影時には腸が拡張している必要があるため、炭酸ガスを肛門から注入します。炭酸ガスは速やかに腸管から吸収され、呼気中に排出されるため、検査後の腹満感が軽減されます。
撮影に入ってから15~20分程度で検査は終了します。
撮影に入ってから15~20分程度で検査は終了します。

大腸CTと大腸内視鏡の違いについて
大腸CTは検査の準備(下剤)も検査自体も大腸内視鏡に比べると楽というメリットがありますが、もし大腸にポリープや腫瘍があっても、切除したり組織を採取したりすることはできないため、これらの異常が疑われる場合は後日あらためて大腸内視鏡を受けていただく必要があります。
大腸内視鏡検査
メリット
- 大腸内を直接見る事ができる。
- 検査に続いて、ポリープの切除等の治療ができる。
デメリット
- 下剤の量が多い。
- 検査の時間が長い。
- 痛みを伴うことがある。
大腸CT検査
メリット
- 下剤の量が少ない。
- 検査の時間が短い。
- 痛みを伴うことが少ない。
- 大腸以外の臓器(肝臓・胆のう・膵臓等)を確認できる。
デメリット
- 大腸内を直接見る事ができない。
- ポリープの切除等の治療ができない。
- ごく少量の被ばくを伴う。
大腸CT検査を受けることができない方
- 腹部、骨盤内に金属などが入っている
- 妊娠中、妊娠の可能性がある
- 人工肛門にしている
- 腹部にペースメーカー、除細動器が植え込まれている
- 高齢(80歳以上)で体力的に検査を受けることが困難
- 直近でバリウム検査を受診した
大腸CT検査の実際
- 検査前日の朝から検査食を摂り、検査用の薬剤を服用します。大腸内をきれいにするため、検査当日の朝に下剤を服用します。
- 検査当日、CT検査室にて細いチューブを肛門から挿入して炭酸ガスを注入して大腸を拡張します。
- CT検査では、仰向け(上向き)とうつ伏せの2つの体位で撮影を行い検査時間は20分程度です。
- CT装置で撮影した画像データをもとに解析処理をし、仮想内に大腸内視鏡像を作成し診断を行います。
健診で便潜血陽性といわれたら…
検査で陽性となった場合は、精密検査が必要になります。便潜血検査は、受診者1,000人中の約50人が陽性になり、その50人のうちの1~2人が大腸がんであると報告されています。ただし、大腸がんがあっても陰性と出てしまうケースもあります。結果として、便潜血検査だけでは大腸がんの発見や予防はできません。便潜血検査を大腸の健康を意識する良いきっかけにして、精密検査を受けることをおすすめします。
※精密検査法の最終的な判断は専門医が行います。ご希望に添えない場合がありますので予めご了承ください。
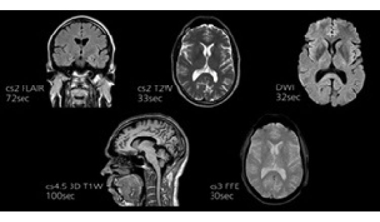
MRI(Magnetic Resonance Imaging:磁気共鳴撮像法)
MRIは、身体を強い磁気の中に置いた状態で、外部から電波を照射すると、体内の水素が反応して信号を発します。その信号を捕らえてコンピュータで解析して画像にします。
CT検査では、身体を輪切りにした画像が主ですが、MRI検査は縦、横、斜めといったあらゆる方向から撮像することができ、またX線被ばくがないので、繰り返し検査することが可能です。
当院には、磁気強度1.5テスラのMRI装置が1台で脳ドック、予約検査、緊急検査を行っています。
CT検査では、身体を輪切りにした画像が主ですが、MRI検査は縦、横、斜めといったあらゆる方向から撮像することができ、またX線被ばくがないので、繰り返し検査することが可能です。
当院には、磁気強度1.5テスラのMRI装置が1台で脳ドック、予約検査、緊急検査を行っています。


当院MRI装置についてのポイント
ポイント1:『短時間かつ高画質』
AIを用いて高速化、高画質化が可能なソフトウェア“SmartSpeed”を搭載しました。従来装置と同じ時間でより高画質な画像を撮像することや時間を短く設定することが可能になりました。


ポイント2:『利用者にやさしい』
MRI装置の開口径は70cmのワイドボアタイプです。従来の60cmの開口径よりも検査環境の改善が期待できます。腰痛をお持ちの方などでは、頭の高さを変えることで姿勢を楽に検査が可能です。
“Breeze coils”は、従来機種と比較して最大75%軽量化されており、汎用性が高いため、さまざまな解剖学的構造にフィットします。
検査の寝台は低反発マットレスを採用しています。長時間同じ姿勢を保つMRI検査ですが、負担を低減することが期待できます。
検査の寝台は低反発マットレスを採用しています。長時間同じ姿勢を保つMRI検査ですが、負担を低減することが期待できます。


ポイント3:『環境にやさしい』
従来、超伝導状態を維持するため、約1500ℓの液化ヘリウムが必要ですが、本装置では、わずか7ℓで高磁場を維持することができます。従来よりもさらに地球環境に配慮した設計です。

施設認定
レントゲン撮影やCT、マンモグラフィなどの放射線検査は病気の発見や治療方法の決定などに欠かせないものとなっています。このようなメリットがある反面、放射線が人体を通過する時、細胞のDNAを傷つけてしまうデメリットがあります。
しかし人体には修復機能や免疫機能があり適量の放射線であればDNAは回復します。薬を多量に飲むと毒になるように、放射線も1度に大量の放射線を浴びるとDNAが修復されず、細胞が癌化してしまう可能性があります。だからといって放射線量が少なすぎても診断に有用な画像を提供できなければ意味がありません。そういったバランスを保つように管理をおこなうことが重要となります。
そこで当院は、公益社団法人日本診療放射線技師会がおこなう「医療被ばく低減施設の認定事業」に賛同し、書類審査・訪問審査を受審しました。
全国で70番目、静岡県内では4番目の認定施設となります。
今後も利用者が安心して放射線検査を受けていただけるよう、医療被ばく低減活動を継続していきます。
しかし人体には修復機能や免疫機能があり適量の放射線であればDNAは回復します。薬を多量に飲むと毒になるように、放射線も1度に大量の放射線を浴びるとDNAが修復されず、細胞が癌化してしまう可能性があります。だからといって放射線量が少なすぎても診断に有用な画像を提供できなければ意味がありません。そういったバランスを保つように管理をおこなうことが重要となります。
そこで当院は、公益社団法人日本診療放射線技師会がおこなう「医療被ばく低減施設の認定事業」に賛同し、書類審査・訪問審査を受審しました。
- 精度管理された装置でガイドラインに準じた被ばく線量で検査をおこなっている。
- 利用者個人の被ばく線量を管理していて、要請があれば提示し、説明や相談を受けることができる。
- 医療被ばく低減に関する研究報告等が行われている。
全国で70番目、静岡県内では4番目の認定施設となります。
今後も利用者が安心して放射線検査を受けていただけるよう、医療被ばく低減活動を継続していきます。


認定資格者
認定資格者数(2025.10 現在)
| 放射線機器管理士 | 3名 |
|---|---|
| 放射線管理士 | 3名 |
| 医療画像情報精度管理士 | 2名 |
| 放射線被ばく相談員 | 1名 |
| 臨床実習指導教員 | 3名 |
| X線CT認定技師 | 1名 |
| 胃がん検診専門技師 | 6名 |
| 胃X線検診読影補助認定技師 | 3名 |
| 検診マンモグラフィ撮影認定診療放射線技師 | 6名 |
| 第1種衛生管理者 | 4名 |
| X線作業主任者 | 1名 |
| 衛生工学衛生管理者 | 1名 |
教育体制
教育方針
利用者中心の医療を行うことを目的に、放射線技師として医療の質の向上と人間的に自立した放射線技師の育成を目指す。
チェックリストによる業務習得管理
- 係ごと教育チェックリストやラダーを用い指導と管理を行う。
- 学習者は、目標を達成する為に教育担当者から指導を受け日常業務を実施する。
- 教育責任者は、学習者が教育担当者を通して、効果的な教育カリキュラムが進められているか管理する。
- 担当役職者は、教育責任者も含めて教育プログラム全体が効果的に進められているか管理する。

人事考課表による目標管理
- チェックリストやラダーを指標にした目標をたてて面談する。(年3回)
- 担当役職者は各学習者と面談を行い、進捗状況を確認する。
- 職場長は担当役職者と面談を行い、各学習者も含めた進捗状況を確認。

先輩の声
放射線課 診療放射線技師(2024年入職)

Q1. 聖隷沼津病院・健診センターに入職の動機・きっかけ・決め手は?
大学の先生から薦めていただいたことや病院見学をさせていただいた時の雰囲気の良さがきっかけでした。
Q2. 職場の雰囲気を教えてください。
和やかな雰囲気だと思います。
Q3. あなたのお仕事内容を教えてください。
一般撮影やX線TV検査、外健診を担当しています。
Q4. やりがいを感じる瞬間は?
再撮影を行わず1回で撮影できた時や患者さんから「ありがとう」と言われたときに やりがいを感じます。
Q5. 休暇は取れていますか? 取りやすい環境ですか?
十分にいただいています。
Q6. 研究や自己研鑽は何かしていますか? また職場の協力体制はありますか?
先輩方からアドバイスをいただきながら、 自分の撮った写真を確認しています。
Q7. 教育体制はどうですか? 充実していますか?
マニュアルやチェックリストがあり充実していると思います。
Q8. 就職活動中の学生の方にメッセージをお願いします。
勉強もあり時間がなく忙しいと思いますが、多くの選択肢・情報から自分に合った職場を見つけられるよう願っております。
放射線課 診療放射線技師(2024年入職)

Q1. 聖隷沼津病院・健診センターに入職の動機・きっかけ・決め手は?
病院と健診の業務がどちらも行えるところに魅力を感じました。
Q2. 職場の雰囲気を教えてください。
業務中とそれ以外の時でメリハリがあり、とても雰囲気のいい職場だと思います。
Q3. あなたのお仕事内容を教えてください。
一般撮影とマンモグラフィ業務を行っています。
Q4. やりがいを感じる瞬間は?
良い画像を撮ることができて先輩に褒めていただいたときや、患者さんからありがとうと言っていただいたときにやりがいを感じます。
Q5. 休暇は取れていますか? 取りやすい環境ですか?
十分な休みがいただけていると思います。
Q6. 研究や自己研鑽は何かしていますか? また職場の協力体制はありますか?
一般撮影の色々な撮影法や、マンモグラフィの撮影技術を日々学んでいます。
Q7. 教育体制はどうですか? 充実していますか?
教育担当者の方が都度画像を見て改善点などを指導してくださり、質問などもしやすい環境です。
Q8. 就職活動中の学生の方にメッセージをお願いします。
勉強との両立で大変だと思いますが、自分を信じて頑張ってください。
放射線課 診療放射線技師(2024年入職)

Q1. 聖隷沼津病院・健診センターに入職の動機・きっかけ・決め手は?
就職活動中に求人を見て、地元だったので応募しました。
Q2. 職場の雰囲気を教えてください。
アットホームな職場です。
Q3. あなたのお仕事内容を教えてください。
診療放射線技師として一般撮影を行っています。
Q4. やりがいを感じる瞬間は?
撮影した画像が自分の想像と同じだった時にやりがいを感じます。
Q5. 休暇は取れていますか? 取りやすい環境ですか?
有休や夏休みなどは取りやすい環境だと思います。
Q6. 研究や自己研鑽は何かしていますか? また職場の協力体制はありますか?
健診業務や病院業務など身につけなければならないことがたくさんあり、今はまだ研究できるほどの余裕がありません。
Q7. プライベートの過ごし方は? ワークライフバランスのコツはなんですか?
メリハリをつけた生活をすることです。
Q8. 就職活動中の学生の方にメッセージをお願いします。
就職活動は大変だと思いますが、頑張ってください。
放射線課 診療放射線技師(2024年入職)

Q1. 聖隷沼津病院・健診センターに入職の動機・きっかけ・決め手は?
病院の業務だけでなく、
健診の業務も行えるところに魅力を感じたのがきっかけです。
Q2. 職場の雰囲気を教えてください。
困ったことや分からないことがあったときにも質問しやすいあたたかい職場です。
Q3. あなたのお仕事内容を教えてください。
健診センターでのマンモグラフィ撮影と胸部の撮影を行っています。
Q4. やりがいを感じる瞬間は?
受診者さんに感謝の言葉をいただいた時やきれいな写真を撮れた時にやりがいを感じます。
Q5. 休暇は取れていますか? 取りやすい環境ですか?
残業時間は少ないので休暇は十分に取れています。
Q6. 研究や自己研鑽は何かしていますか? また職場の協力体制はありますか?
今は主にマンモグラフィ撮影を行っているため、画像の見方やより良い撮影について学んでいます。
Q7. 仕事をしていて今までで一番嬉しかった事は?
自分で撮った写真や、接遇について先輩に褒めていただいたことです。
Q8. 将来の夢や目標は?
まだできるようになった業務は少ないですが、1つ1つ着実に習得して早く1人前の技師になれるよう頑張りたいです。
利用者様へ
被ばく相談してみませんか!
病院に来院されるすべての方に対して、放射線検査と被ばく相談をおこなっています。
応対者は日本診療放射線技師会が認定している「放射線被ばく相談員」が実際に受けた検査の被ばく線量を提示しながら説明いたします。
地下1階「画像診断部受付」にてお気軽にお声かけください。
応対者は日本診療放射線技師会が認定している「放射線被ばく相談員」が実際に受けた検査の被ばく線量を提示しながら説明いたします。
地下1階「画像診断部受付」にてお気軽にお声かけください。

